患者さまのための心臓病学
碩心館病院のホームページを訪ねて下さりありがとうございます。
私が碩心館病院に勤務するようになって6年余になります。
水、木、金曜日の外来にはたくさんの方が受診して下さり、医者冥利に尽きると感謝しています。
これからも皆さまの健康面で少しでもお役に立てればと願っています。
その一環として、日々の診療の中で患者さまから得た貴重な情報を分かりやすく書いてみたいと思います。
気楽に読んで戴き参考にして頂ければ幸いです。
第一章 狭心症
狭心症は心臓の筋肉(心筋)を栄養している冠動脈の血流が一時的に悪くなり、心筋が痺れる(酸素不足;虚血)を生じる病気です。
原因は2つあります。
1つはコレステロールが冠動脈の壁の中に入込み、塊(粥腫)を作り、血液の通り道を狭くするために生じる労作性狭心症です。
他は冠動脈のある部分が一時的に異常に収縮(攣縮)を生じる安静時狭心症(冠攣縮性狭心症)です。
1. 労作性狭心症
[カルテ№ 1]
M男さん、68歳、男性
訴え;農作業の際に胸の広い範囲に不快な感じが生じ、中断すると2~3分で治まる
若い頃から農業が大好きな68歳のM男さん。最近、農作業をするのが億劫になっていました。俯いて行う土掘りや野菜の収穫作業の際、あるいは重いものを運んだりすると決まって胸が何かに押しつけられたような不快な感じがします。2~3分休むと何ごとも無かったように良くなります。しかし、再開し同じ作業量になった頃に同様の症状が出現します。ただ、トラックターに乗って行う作業では、いくら働いても何ともありません。
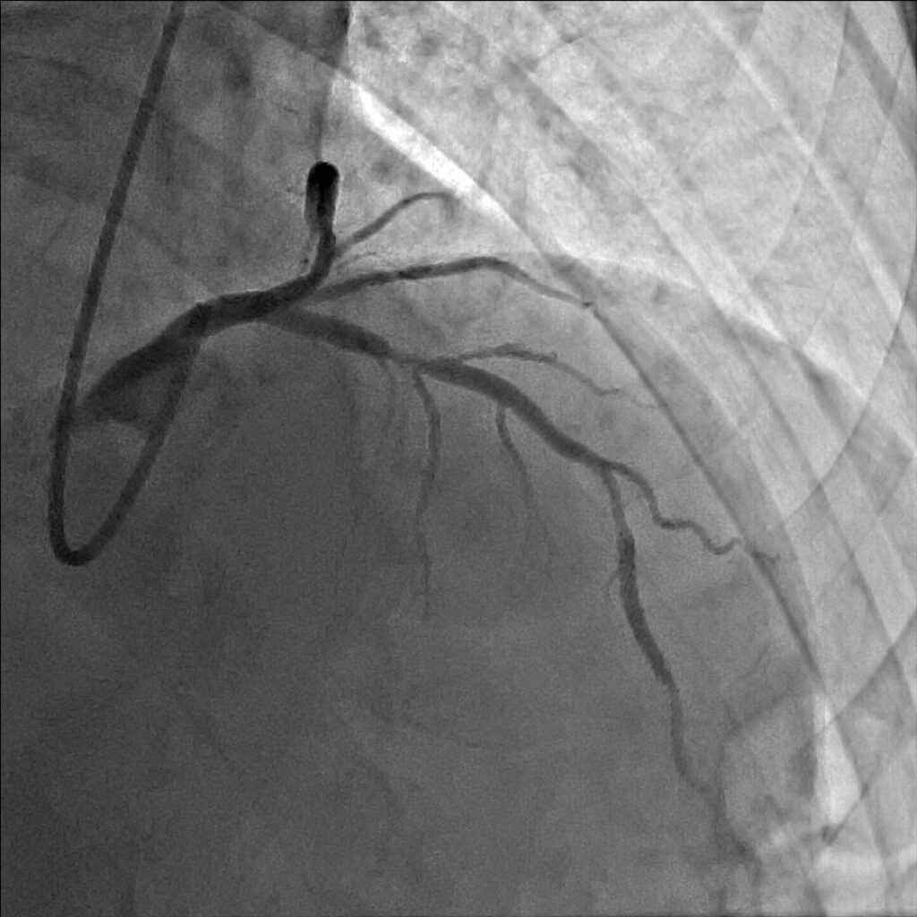
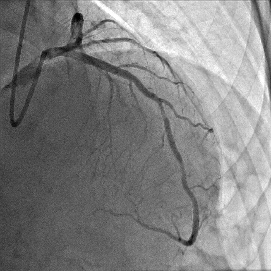
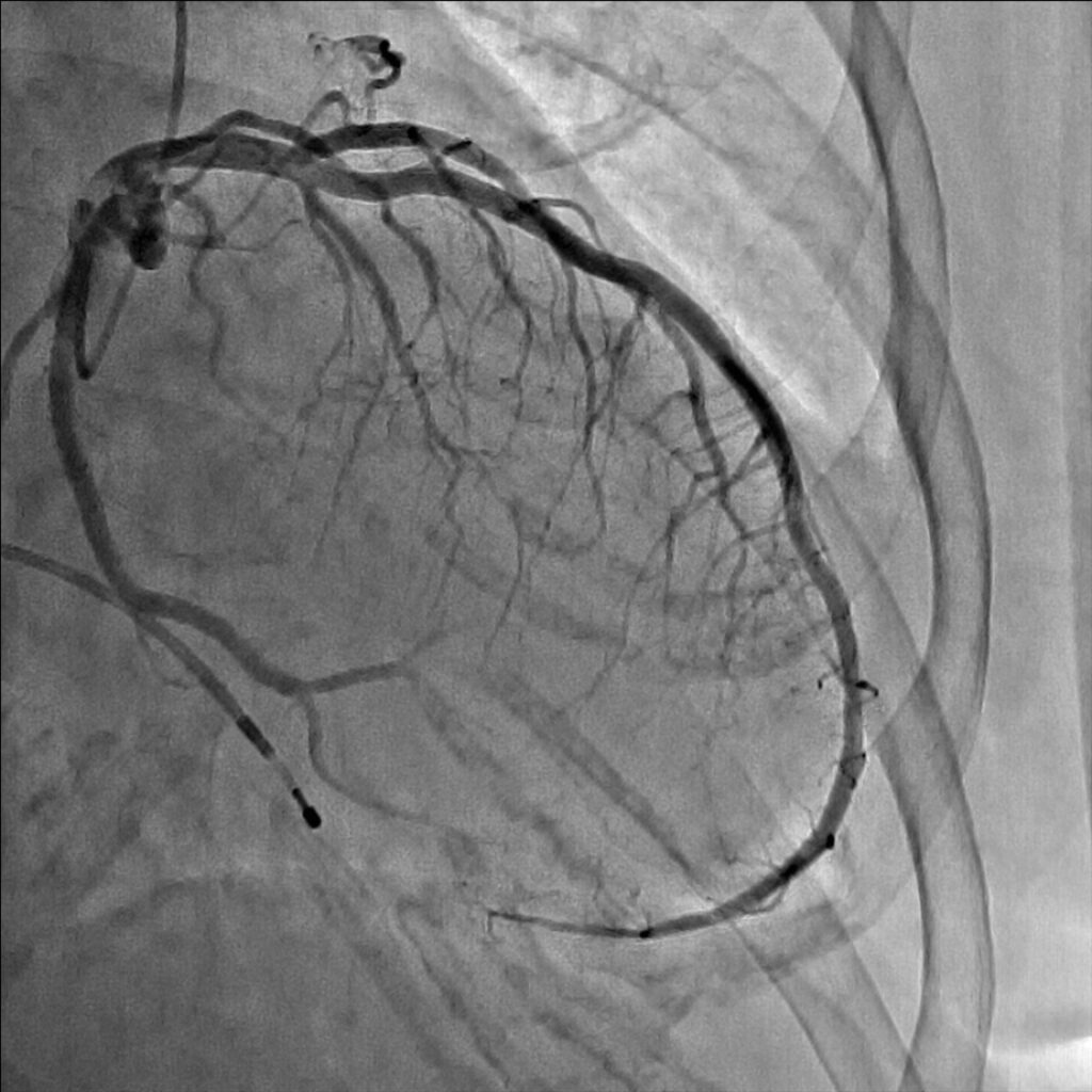
妻の勧めで近所の医院を受診しました。安静時心電図検査では何の異常もなかったのですが、念のためにと私の外来を紹介されました。ベルトコンベアーの上を歩く運動負荷心電図検査でいつもと同じような症状を覚え、心電図に異常が出現しました。私は労作性狭心症と診断しました。手首からカテーテルを挿入した冠動脈造影検査で、一番大きな冠動脈枝の近位部に高度な狭窄が見つかりました。後日、風船とステントを用い、狭窄を開大しました。症状は完全に消失し、今は農作業に精を出しています。
労作性狭心症の特徴として次のようなものがあります。
- 身体を動かすこと(労作)や精神的な興奮で心筋に負荷がかかることが引き金となる。
- 心筋の痺れを反映し痛みではなく、不快な違和感(押さえつけられる、締め付ける、焼けつく等)を感じる。
- 症状を感じる部位は前胸部が最も多いが、背中、肩、首、下顎、歯肉等にも感じることがある。
- 手のひら以上の大きさの範囲に感じる。
- 症状は労作を中断すると30秒から5分以内に消失する。
- ニトロペンを舌下使用すると、1~2分以内に“波が引くように”症状が消失する。
狭心症は“心臓を狭める”という症状から由来した病名です。疑わしい症状がある方は、上記の症状に合致するかをチェックしてみて下さい。専門医は症状を詳細に聴取するだけで80%以上の診断が可能です。労作性狭心症を裏付ける検査としては、運動負荷試験が最も一般的です。心電図や血圧計を装着し、ベルトコンベアーの上を歩きます。速度や勾配を段階的に上げることで心筋に徐々に負荷をかけていきます。いつもの症状が出たとき、心電図異常が出現したとき、負荷が標的水準までかかったときに中止します。この検査は診断率が高くかつ安全です。最終的には造影剤を使ったCT検査やカテーテル検査で狭心症の診断のみならず、冠動脈狭窄の程度や部位、病変部数等を精査します。



治療はカテーテルを使い風船やステントで狭窄部を拡張し、血液の流れをよくすることが一般的です。冠動脈の全ての枝に狭窄がある方、あるいは左主幹部と呼ばれる最も太い血管と他の枝に病気が重複している重症な方等には冠動脈バイパス手術をお勧めしています。しかし、症状が無い方や心筋虚血を心電図等で客観的に認めない方は、冠動脈に狭窄があっても、こうした治療をせず悪玉コレステロールを下げる、高血圧をコントロールする、禁煙をする、糖尿病のコントロール等の冠動脈硬化の危険因子を治療することで経過をみることも多いです。
ポイント
- 労作や精神的な興奮が引き金になる。
- 詳細な病歴を聞くことで8割以上が診断可能。運動負荷試験で診断率を高めることができる。
- 造影剤を使ったCT検査やカテーテル検査でより詳細な情報を得ることができる。
- ステントを留置する治療が一般的であるが、バイパス手術や薬物治療を選択することもある。
2. 安静時狭心症 (冠攣縮性狭心症)
[カルテ№ 2]
A子さん、54歳、女性 安静時狭心症
訴え;決まって深夜2時から3時に胸苦しく目覚める
54歳のA子さんはここ1月の間睡眠不足が続いています。というのも2~3日に1回くらいの頻度で胸苦しくて目が覚めるからです。それが決まって深夜の2時から3時のくらいに生じます。胸全体が重苦しく時には左の奥歯まで鈍痛を感じます。短いときは10分位、長くとも30分位するといつの間にか寝ています。朝起きると何ともなく昨晩のことは夢だったのかと思うくらいです。昼間、勤務していますが仕事には何の支障もありません。
しかし、昨晩は今までとは様子が異なりました。いつものように2時過ぎに胸が重苦しくて覚醒しました。いつものことだと様子をみていましたが、息苦しさが加わり冷汗も出てきました。30分位で少し楽になりましたが、そのうちまた苦しさが増してきました。苦しくなったり楽になったりの繰り返しが2~3度続き、明け方になってやっと就寝することができました。ただ事ではないと思い、知人の勧めで私の外来を受診しました。
私はA子さんの話を聞くと、直ちに安静時狭心症(冠攣縮性狭心症)と診断しました。それ程A子さんの症状はこの病気に典型的なものでした。この病気は突然死する場合もあり、A子さんもこれ以上受診が遅ければその可能性があったと思います。A子さんは就寝前にCa拮抗薬を服薬することとニトロペンの常時携帯で発作は全く消失し健康な生活を送っています。
前回述べた労作性狭心症は主として昼間の労作時に生じるのに、安静時狭心症は夜間から早朝の安静時に多い特徴があります。安静時狭心症は原因が未だすべて解明されていませんが、自律神経の異常、女性ホルモンの低下等が深く関与しています。このため閉経前後(40歳~60歳)の女性に多いこともこの病気の大きな特徴です。
この病気の特徴として一般的な狭心症のそれに加え次のようなものがあります。
- 全年代に発生(私は18歳から92歳を経験)するが閉経前後の女性に多い。
- 安静時(特に夜間から早朝)のほぼ決まった時刻に出現 する。
- ストレス、喫煙、大量飲酒、寒冷、過呼吸等で発作が誘発される。
- 全身症状(冷汗、失神)を伴うことがあり、時に突然死を生じる。
- 発作が長時間(5分以上)続き、症状が波状的に繰り返すことがある。
- 発作時にはニトロペンの舌下使用が著効する。
- 薬剤のうちCa拮抗薬が特効し、β遮断薬は無効ないし増悪させる 。
安静時狭心症の診断には、労作性狭心症にもまして詳細な症状の聴取が重要です。専門医が症状を詳細に聴取することで、ほぼ100%の診断が可能と言われています。疑わしい場合は、発作時にニトロペンの舌下使用を試し、著効するか否かで診断することもできます。カテーテルを使った冠動脈造影時に、アセチルコリンという薬剤を用いた冠動脈攣縮誘発試験で冠攣縮の有無を判定することが一般的です。


治療はある種のCa拮抗薬が特効的です。不十分な場合は硝酸薬を付加することもあります。それでも発作が生じる可能性があります。このため、ニトロペンを枕元等のいつでも手の届く場所に携帯し、発作の前兆を感じた際はためらわず舌下使用することが大事です。
ポイント
- 詳細な問診でほぼ完全に診断できる。
- 閉経前後の女性に多い。
- 安静時(特に夜間から早朝)に発症しやすい。
- Ca拮抗薬が著効する。
3. 不安定性狭心症
[カルテ№ 3]
K夫さん、79歳、男性
訴え;坂道を散歩していた時に時折感じていた胸苦しさが長く続き冷汗も生じた
K夫さんは、数年来近所を散歩することを日課としています。1年くらい前から緩やかな坂道を登ると、胸がざわつくような感じを時折覚えていました。2~3分休憩すると消失するので“歳のせい”と考え、気にかけていませんでした。2月初旬の寒い日、いつもの散歩をしていると、平坦な道であるにもかかわらず、胸全体が締め付けてきました。立ち止まり休んでいてもよくなりません。そのうち立っていることができなくなり、座り込んでしまいました。30分位で大分楽になったので、ゆっくり歩いて帰宅しました。妻がK夫さんの顔が蒼白で冷汗もかいていたため、私の外来に伴ってきました。
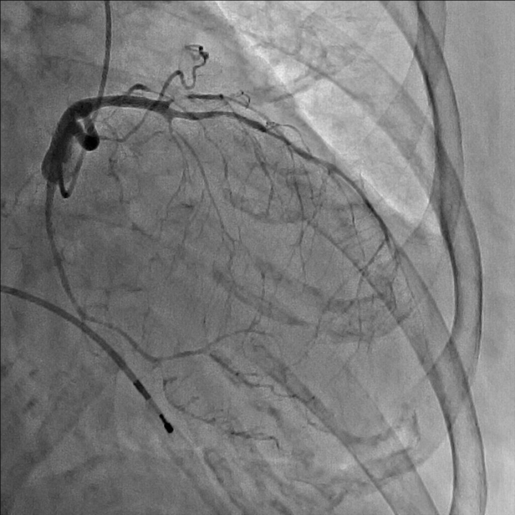
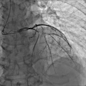
受診時には症状はなく、一見元気そうでした。話の内容から重症の冠動脈疾患の存在を疑いました。心電図検査では、急性心筋梗塞の所見は無いものの、強い心筋虚血の所見が残っていました。同時に行った血液検査で心筋の成分が一部血液に漏れ出ている反応(トロポニン試験)が陽性であったため不安定狭心症(急性冠症候群)と診断しました。直ちにどのような処置も可能な徳島赤十字病院に搬送しました。数日後、元気なったK夫さんが退院報告に来てくれました。添書によると、一番大きな冠動脈枝の起始部がほぼ閉塞しかかった状態(99%狭窄)であり、直ちに風船とステントを用い拡大したとのことでした。

不安定狭心症は通常の狭心症と異なり、次のような症状の変化が起き、急性心筋梗塞や心臓突然死への移行が高い病気です。その変化とは、①症状が強くなる、②発作の回数が増える、③症状の持続時間が長くなり20分以上続く、④労作時のみに生じていた発作が安静時にも起きるようになる、⑤ニトロペンが1錠では効かず2錠、3錠と必要になる、⑥冷汗や立ちくらみ等の全身症状を伴うようになる等です。
冠動脈の狭窄が急激に進行するために生じると考えられています。その原因は冠動脈の壁の中にできたコレステロールの塊(粥腫)が破れ、その部に血栓(血液の塊)が生じるためです。冠動脈造影検査をすると、多くの場合、血栓により冠動脈腔がほぼ閉塞状態であることが確認されます。
不安定狭心症と診断されれば、カテーテルを使った冠動脈治療やバイパス術が行える施設への緊急搬送が必要です。そこで冠動脈狭窄に対する適切な処置が行われると、何の傷害もなく健康を回復できます。
ポイント
- 急性心筋梗塞や心臓突然死へ急速に移行しやすい。
- 狭心症発作の程度、回数、持続時間、ニトロペンの効果等が増悪する。
- 血栓の発生により冠動脈腔がほぼ閉塞状態であることが多い。
- 専門病院に緊急搬送し、冠動脈の血流の改善を図る処置が必要な場合が多い。